官方微信 省胸科医院微信服务号

扫一扫关注医院订阅号
医院新闻
医疗快讯 您当前所在位置: 首页  >  医院新闻  >  医疗快讯  >  正文

「仁术」精准、微创——让肺癌治疗更安全高效的热消融术

更新时间:2022年09月23日 09:12点击次数:

近日,江西省胸科医院胸外一科为一位患者成功开展了肿瘤热消融术治疗肺癌,手术的顺利开展为肺癌患者的个体化治疗多了一种选择。

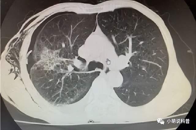
患者为57岁男性,因反复咳嗽、咳痰伴胸闷20余年,发现肺部结节1周在我院胸外一科住院治疗。入院后完善相关检查,胸部CT示双肺重度气肿,右肺上叶前段见形态不规则、直径约2.3㎝大小、边缘毛糙、可见毛刺的结节影,考虑肺占位性病变。

消融前肺部肿瘤

CT引导下经皮肺穿刺活检病理证实为右上肺鳞癌。患者肺功能FEV1:0.76L;FEV1占预计值:27.4%。血气分析示Ⅱ型呼吸衰竭。患者目前心肺功能差,经积极肺康复锻炼,患者肺功能仍无改善。考虑患者无法耐受常规的手术及放化疗,肿瘤分子检测无靶向及免疫治疗指征。

研究表明:局限性肿瘤热消融治疗同样能够获得比较好的疗效,征得患者本人及家属同意后,王武明主任医师团队决定为患者行经皮肺肿瘤微波消融治疗。

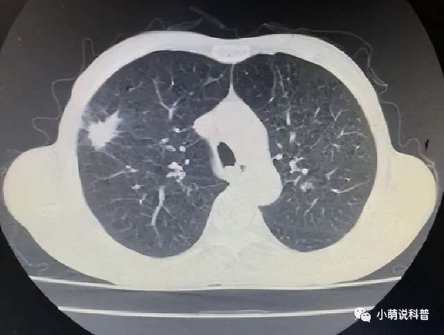
患者经CT引导在局麻下行右肺癌经皮微波消融术,手术仅用了8分钟就顺利完成,术中患者仅感局部轻微疼痛,余无特殊不适症状,术后患者感觉良好,复查CT肿瘤消融满意,仅少量气胸。

消融治疗中

治疗后肺肿瘤消散

微波消融(MWA):是在微波电磁场作用下,使肿瘤组织内的水分子、蛋白质分子等极性分子产生极高速振动,造成分子间相互摩擦、碰撞产生生物学效应,局部温度可达60~120℃,当组织被加热至60℃以上时,可引起细胞凝固性坏死。微波消融作为一种微创技术,为不能行外科手术治疗的肺癌患者和肺转移瘤的患者提供一种治疗选择。

肺癌消融治疗适应症:1、患者因心肺功能差或高龄不能耐受手术切除或不能进行SBRT;2、拒绝行手术切除或SBRT;3、肺癌术后或放疗后局部复发或肺内单发转移(肿瘤最大径≦3cm,且无其他部位转移病灶);4、单肺,各种原因导致一侧肺缺如;5、多原发肺癌,且双肺肿瘤数量≤3个;6、肿瘤最大径≤3cm,且无其他部位的转移病灶。

CT引导下经皮肺部肿瘤热消融技术具有:创伤小、疗效明确、安全性高、患者恢复快、操作相对简单、适应人群广等特点,是继外科手术及放疗后局部控制肺部肿瘤的又一理想方法。

作者:王武明、江鸿发  编辑:章蕾

关闭