官方微信 省胸科医院微信服务号

扫一扫关注医院订阅号
医院新闻
医院动态 您当前所在位置: 首页  >  医院新闻  >  医院动态  >  正文

成功排“栓” ,化险为夷!

更新时间:2021年09月23日 17:05点击次数:

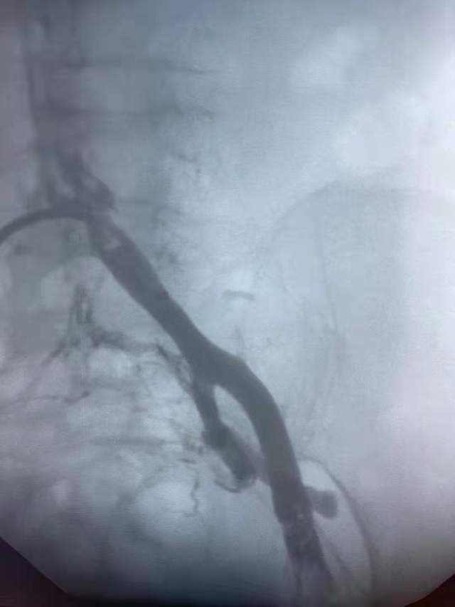
中秋节假期间,我院介入血管科在DSA下成功为一例左髂静脉血栓患者施行经皮下腔静脉滤器置入术及经股静脉导管抽栓术。

74岁的史奶奶在我院神经内科住院治疗,因长期卧床、活动少导致下肢浮肿,9月18日的双下肢深静脉超声示左侧髂静脉血栓形成。如不及时采取治疗措施,血栓一旦脱落极有可能随血液流动到达肺动脉并发急性肺动脉栓塞,从而危及患者生命。经介入血管科许玉华副主任医师会诊后,建议急诊行经皮下腔静脉滤器置入术+经股静脉导管抽栓术。

术前许玉华主任团队制定了详细的诊疗计划和周密的手术方案,术中造影示:左侧髂总静脉、左侧髂内静脉、左侧髂外静脉见多发充盈缺损,造影剂回流下腔静脉不畅,予以碎栓、抽栓术,抽出大量的血栓。术后,患者下肢水肿减轻。

下肢深静脉血栓是各种原因导致下肢静脉回流不畅,血液淤积在下肢深静脉导致血液呈现高凝状态,最终在下肢静脉内形成血栓。它最大的风险就是血栓脱落,血栓一旦脱落,可随血流进入并堵塞肺动脉,形成致死性肺动脉栓塞,患者会突然发生不明原因的胸痛、咳嗽、呼吸困难、虚脱、面色苍白、出冷汗等,并有脑缺氧症状如极度焦虑不安、倦怠、恶心、抽搐和昏迷等,严重者可猝死。

传统下肢深静脉血栓的治疗以抗凝为主,可以防止血栓蔓延及血栓脱落引起肺栓塞,但对已经形成的血栓没有作用,下肢深静脉仍然被血栓堵塞。

为避免致死性肺栓塞,可以在栓子进入肺动脉的必经之路下腔静脉处植入一种装置——可回收腔静脉滤器,可有效防止栓子到达肺动脉而引起肺栓塞。它选定特殊的金属滤网通过股静脉置入下腔静脉内,形成对下腔静脉血栓的拦截,在下腔静脉中撑开一把“保护伞”,有效预防患者治疗过程中血栓脱落引起致命性肺栓塞,为下一步进行深静脉内插管接触性溶栓提供条件,解除溶栓治疗的后顾之忧。

目前,下腔静脉滤器置入术是预防肺栓塞最为有效的方法,具有并发症少、损伤小、出血量少、恢复快等优点,是一种比较成熟的介入手术方法,对于预防高危患者发生肺动脉栓塞意义重大。

介入血管科负责人许玉华介绍,下肢深静脉血栓的预防可从以下几方面做起——

在床上做早期活动,

尽量避免长期卧床,

可以进行下肢肌肉锻炼,

防止下肢不动形成血栓。

还可以运用一些辅助静脉回流的装置,

例如弹力袜、下肢循环驱动泵,

在手术后早期运用弹力袜

和下肢循环驱动泵,

被动地活动下肢肌肉,

促进静脉回流,预防血栓。

在手术无明显禁忌、无大出血情况下,

可尽早预防性使用抗凝药物,

防止血栓进一步形成。

日常要避免久坐久站久卧,

适时变换体位或走动。

低脂饮食,预防高血脂,

适当锻炼身体,避免肥胖。

  编辑:介入血管科 胡永红 (编辑:admin)

关闭